Aneurisma dell’aorta toraco-addominale, eseguito trattamento di elevata complessità dalla U.O.C. Chirurgia Vascolare del G.O.M.
21 Gennaio 2026
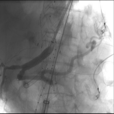
Di recente la U.O.C. Chirurgia Vascolare del Grande Ospedale Metropolitano di Reggio Calabria ha eseguito con successo un trattamento di elevata complessità su un paziente con un voluminoso aneurisma toraco-addominale (7 cm di diametro).
L’aneurisma toracico è stato trattato con un approccio endovascolare, mediante il posizionamento di endoprotesi; successivamente è stata posizionata un’endoprotesi ramificata per i vasi viscerali ed una terza endoprotesi aorto-bisiliaca. Il decorso post-operatorio è stato ottimale: il paziente non ha avuto complicanze ed è stato dimesso al proprio domicilio in buone condizioni di salute.
Il complesso trattamento è stato eseguito con successo anche grazie alla collaborazione multidisciplinare dei chirurghi della U.O.C. Chirurgia Vascolare, diretta dal dr. Pietro Volpe, e del personale della U.O.S.D. Terapia Intensiva Post-Operatoria, guidata dal dr. Massimo Caracciolo.
L’aneurisma dell’aorta toraco-addominale rappresenta una patologia non molto frequente ma con prognosi molto serie; la patologia richiede un trattamento altamente specialistico a causa del coinvolgimento di tutta l’aorta e dei rami viscerali che da essa originano, che è necessario preservare.
Le tecniche endovascolari avanzate consentono di trattare tali patologie complesse che altrimenti prevedrebbero un trattamento chirurgico tradizionale gravato da un elevato tasso di mortalità e da lunghi tempi di degenza in terapia intensiva.
Per saperne di più sulle attività del G.O.M., visita il sito www.gomrc.it.
Consulta la Carta dei servizi e visita la pagina Facebook del GOM (GOM Reggio Calabria).
Staff Direzione Generale

SCARICA L'APP
.jpg)

.jpg)



